提起“肺癌”多数人心中会想到两个字 ——“咳血”。但其实很多早期肺癌并不会出现明显症状,就算出现“咳血”也不一定就是肺癌,可能和其它系统疾病有关。
所以,不能单纯靠症状去判断是不是肺癌,可以通过X光胸片、低剂量螺旋CT筛查、肿瘤标记物筛查、痰细胞学筛查等方式进行肺癌的筛查和早期诊断。
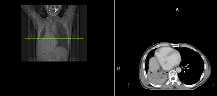
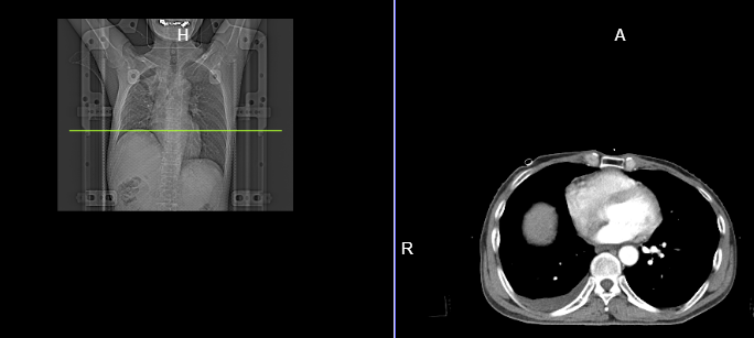
咳嗽、胸闷、气短 30年老烟民不相信自己会得肺癌 近日,医院来了一名50岁的王先生,述说自己间断性咳嗽、咳痰1年多,最近一个月感觉自己胸闷气短症状加剧,于是去当地医院检查,考虑为右肺气胸,随后行胸腔闭式引流术,排空气体后,王先生胸闷气短症状并没得到缓解。 于是到上一级医院进一步治疗,通过纤支镜检查时发现右主支气管有肿物,活检检查显示为鳞状细胞癌,并随即行气管支架植入术。但术后没多久再次出现气胸,如此反反复复,王先生很是苦恼,甚至不相信自己患了肺癌,认为自己又没咳血,怎么就会是肺癌啦? 其实肺是一个哑巴器官,很多时候早期肺癌并不会向身体报警,但如果你同时出现下面这些症状,就要提高警惕,及时检查! 1、胸部感染并且伴随有长期反复感染的症状; 2、无缘无故地喘息和呼吸急促; 3、胸部或肩部疼痛,并且长期没有好转; 4、嗓音嘶哑并且持续三周以上; 5、长期咳嗽、体重减轻、感觉极度疲倦; 7、杵状手指:手指末端形状发生改变,出现变大或变圆的症状; 8、脸部、颈部、腋下出现肿胀; 久治不愈的肺癌症状 在放射治疗下销声匿迹 “命途多舛”王先生为寻求更好的治疗方法,经多方打听,找到了在肺癌治疗方面颇有造诣的昆明医科肿瘤医院骆建华主任团队,寻求进一步诊治。 骆主任在详细了解王先生病情之后,评估患者气道肿瘤暂无手术条件,凭借自己多年来熟用放射治疗救治患者的丰富经验,为王先生治疗了详细的放疗计划。 放疗结束后,王先生咳嗽、胸闷、气短等不适情况明显好转,恢复状态良好。通过CT影像资料显示,在放射治疗的帮助下,王先生的肺部肿瘤已得到有效控制。 放疗前 放疗后 科普小结 放疗在肺癌治疗中大有可为 由于王先生肿瘤位置的特殊性,手术不但不能一劳永逸,还存在巨大风险,这种情况下,选择放射治疗的确是一个明智的决定。 近年来,随着科技高速发展,放疗在肺癌的临床应用中有着不可替代的作用,其“高精度、高剂量、高疗效、低损伤”的特点,能够追着肿瘤细胞“指哪打哪”。 特别适合高龄、不具备手术条件或其他因素身体耐受力差的患者,可通过放疗减轻患者痛苦、延长患者生存时间、降低复发及远处转移的风险,并且还能大大缩短患者平均住院日,减少患者住院费用,为广大肿瘤患者提供了新的希望!




